【学术前沿】热诱导对白斑狗鱼(Esox lucius)肝脏铁蛋白的结构和自组装性能影响的研究

发布者:学科建设办公室发布时间:2023-02-23浏览次数:602

石河子大学食品学院营养与功能性食品团队:

诱导对白斑狗鱼(Esox lucius)肝脏铁蛋白的结构和自组装性能影响的研究

FOODS

(中科院JCR一区IF=5.561

 

1 研究背景

缺铁性贫血(IDA是最常见的营养缺乏症和全球公共营养障碍。目前用以缓解IDA的口服铁制剂硫酸亚铁、乙二胺四乙酸铁(Ⅲ)钠NaFeEDTA和葡萄糖酸铁在服用后会产生一些副作用。因此需要找到一种吸收好副作用小的新型补铁剂。铁蛋白是一种由球状蛋白壳和铁核组成的储铁蛋白,广泛存在于动物、植物和细菌中。有研究发现铁蛋白具有良好的生物活性并且能够很好地被人体吸收,可以作为一种安全有效的功能性补铁剂。与植物铁蛋白相比,动物铁蛋白由于缺乏延伸肽EP,在储存过程中不会降解。因此,动物铁蛋白可能是比植物铁蛋白稳定的补铁剂。

白斑狗Esox lucius)是新疆的特色冷水鱼之一,具有极高的营养价值和经济价值。在加工和食用过程中白斑狗鱼的肝脏通常被作为废弃物丢弃,但是肝脏含有铁蛋白。因此,将肝脏回收利用有助于减少资源浪费和环境污染,并为水产品副产物的综合利用提供参考。白斑狗鱼肝脏铁蛋白(NPLF)作为本课题组新纯化的一种蛋白,其热稳定性尚不明确。目前,关于植物铁蛋白和哺乳动物铁蛋白热稳定性的研究较多,但关于水产品中铁蛋白热稳定性的研究报道较少。本文以新纯化的NPLF为原料,研究了热处理对铁蛋白结构和自组装性能的影响,以优化铁蛋白在食品系统中应用热处理条件。

2文章标题页详情

  


3 研究成果

3.1内容简介

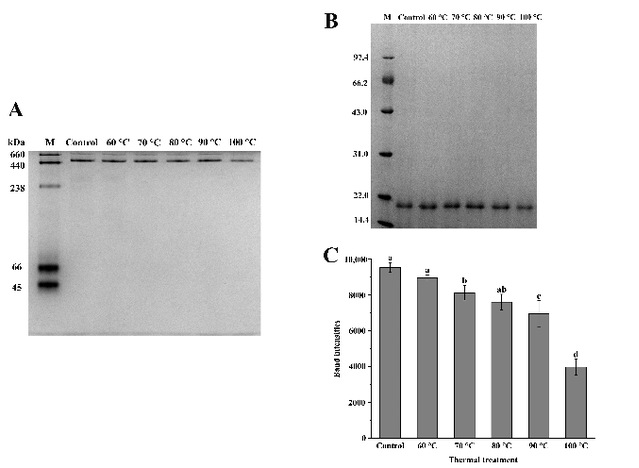
本文采用硫酸铵沉淀法结合阴离子交换层析从白斑狗鱼肝脏中提取并纯化铁蛋白NPLF);通过SDS-PAGE以及Native-PAGE验证其纯度;将纯化后的样品孵育在不同的温度下取样;采用电泳、动态光散射DLS、圆二色谱(CD、紫外-可见吸收光谱、荧光光谱和透射电镜TEM等方法研究热处理NPLF的聚集、组装性能以及结构的影响;同时,测定了不同温度对NPLF的溶解度和铁含量的影响,为后续NPLF的加工和使用提供了理论依据。

 

 


3.2 研究结论

NPLF作为一种新来源的铁蛋白与豌豆种子铁蛋白、大豆铁蛋白和其他植物铁蛋白相比,它更加稳定。在本研究中,我们发现热处理温度会不同程度的影响铁蛋白的结构和自组装能力。当处理温度低于80°C时,不影响铁蛋白的笼状结构和自组装能力,同时还会抑制NPLF的聚集然而,随着温度的升高,会影响铁蛋白的自组装能力,破坏蛋白的结构,导致铁含量显著下降。因此,为实现NPLF的有效利用,其加工温度应控制80°C以下   

4 专家简介

张建博士,教授。主要从事水产品加工贮藏保鲜方面的研究工作,主持及参与国家自然科学基金“蛋白质氧化引起新疆高白鲑肌肉蛋白功能变化及其机理的研究”、“体外羟自由基氧条件下内源蛋白酶对高白鲑肌原纤维蛋白作用的研究”和“新疆冷水鱼抗冻蛋白的结构特性及抗冻机理的研究”项目等。近年来,以第一作者或通讯作者在Ultrasonics SonochemistryFood ChemistryLWT-Food Science and TechnologyInternational Journal of Food Science and Technology等国际学术刊物发表科研论文40 余篇

张斯颖石河子大学食品学院研究生,主要研究方向为新疆特色冷水鱼加工副产物的综合利用。

5 团队介绍

石河子大学食品学院营养与功能性食品研究方向主要围绕水产品理论与技术、功能食品工业化、有害物检测等领域开展科学研究,主要研究方向包括美拉德反应初期产物形成控制及健康食品创制研究、蛋白质氧化调控与产品品质提升技术研究、新疆特色动植物贮藏及加工过程中有益组分的营养及功能评价、有害组分的发生机制及调控检测方法、产品开发及副产物的综合利用等方面的研究等。